Ортодонтическое лечение зубов
Любые заболевания зубочелюстной системы, в том числе и относящиеся к ортодонтической стоматологии успешно лечатся в клинике профессорской стоматологии “22 век” в Москве. Красивая, открытая улыбка во все времена считалась залогом успеха, а деформации зубов, заметные визуально, способны испортить впечатление о человеке. Избавиться от видимых нарушений зубочелюстной системы вы сможете, обратившись в нашу клинику.
Этапы ортодонтического лечения

Ортодонтическое лечение представляет собой целый комплекс мероприятий и лечебных процедур, который проводится с применением специальной аппаратуры, современных препаратов и инновационных технологий. Кандидаты и доктора наук клиники “22 век” проводят исправление прикуса различными методами:
- Устанавливают каппы;
- Пластинки,
- Брекет системы;
- Трейнеры для зубов;
благодаря чему достигается восстановление ровного зубного ряда. В лечении предусмотрено несколько этапов:
- Диагностический;
- Подготовительный;
- Основной;
- Ретенционный.
Стоимость этапа зависит от сложности нарушения и может быть определена в индивидуальном порядке. Чтобы избежать возникновения болезней, связанных с неправильным расположением зубного ряда, необходимо вовремя обращаться в центр ортодонтии. В нашей клинике такое лечение вам окажут по доступным ценам кандидаты и доктора наук. При этом проконсультироваться у главного врача клиники вы можете абсолютно бесплатно.
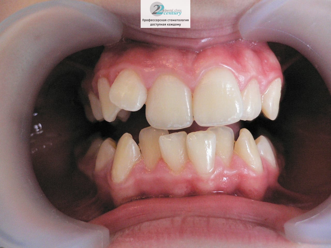
Проблема неправильного прикуса

Выраженные нарушения прикуса не только являются эстетическим дефектом, но и не позволяют производить качественные гигиенические процедуры. Это может стать причиной более частого развития кариеса, а также затрудняет протезирование, если в этом есть необходимость. Если вы не хотите стать заложником многочисленных недугов, причиной которых является неправильный прикус, то рекомендуется своевременно пройти курс лечения. Ортодонтия {место}, в частности, в клинике “22 век” находится на высоком уровне и позволяет проводить исправление прикуса у взрослых людей. Если раньше этот раздел считался в основном направлением детской стоматологии, то сейчас получить ровные зубы и красивую улыбку можно даже в зрелом возрасте.
Инновационные методики и усовершенствованная аппаратура в клинике “22 век”
Современная ортодонтия предоставляет возможность воспользоваться одной из многочисленных методик исправления прикуса у зрелого человека. Как правило, каждый из способов предполагает ношение специальных аппаратов, которые корректируют положение зубов. По сути, все методы объединены таким фактором, как медленное, принудительное перемещение неправильно расположенных зубов к их оптимальному анатомическому положению. Ортопедические конструкции, применяемые в нашей клинике, могут представлять собой съемные, несъемные аппараты или же комбинированные. В зависимости от имеющихся нарушений и целей коррекции пациенту могут быть рекомендованы тот или иной метод лечения.
Какие еще методики применяются в нашей клинике

В более простых случаях используются съемные аппараты или пластины, которые можно носить определенное время, например, только ночью. Благодаря их применению нормализуются функции челюстно-лицевых мышц, форма челюстных костей, ширина неба. Более серьезным аппаратом являются брекеты, благодаря которым положение зубов откорректировать можно максимально точно. Эта система представляет собой ряд замочков, соединенных ортодонтической дугой, которую фиксируют на поверхности зубов. У дуги существует память формы, которая возвращается к первоначальному состоянию вне зависимости от того, как сильно ее изогнули. Так же могут использоваться лингвальные брекеты, которые востребованы благодаря тому, что устанавливаются на внутренней поверхности зубов и практически незаметны.
Индивидуальный подход к каждому пациенту

Современная клиника ортодонтии “22 век” для каждого пациента обязательно разрабатывает свою индивидуальную программу исправления прикуса. В своей работе мы применяем компьютерные технологии, что дает возможность наиболее точно устанавливать ортодонтические системы (в том числе и пластинки на зубы) и проводить коррекцию по мере необходимости.
Возможности ортодонтии
Выравнивание зубов в нашей клинике может быть проведено также с помощью съемных капп. Они изготавливаются из особо эластичного материала, за счет чего могут легко адаптироваться к форме челюсти пациента. В тех случаях, когда по каким-либо причинам брекеты не могут быть использованы, мы рекомендует своим пациентам трейнер для зубов. Этот аппарат изготавливается из эластичного силикона и служит не только для механического выравнивания зубов, но и для корректировки положения языка, глотания, носового дыхания и дефектов речи. Стоимость стоматологических услуг в клинике “22 век” доступная, в чем вы можете убедиться лично. Мы будем рады видеть вас в числе наших пациентов и оказать вам необходимые стоматологические услуги.



