Шинирование зубов при пародонтите
Запущенный пародонтит нередко приводит к расшатыванию и подвижности зубов, в таком случае одним из эффективных методов сохранить зубы является шинирование.
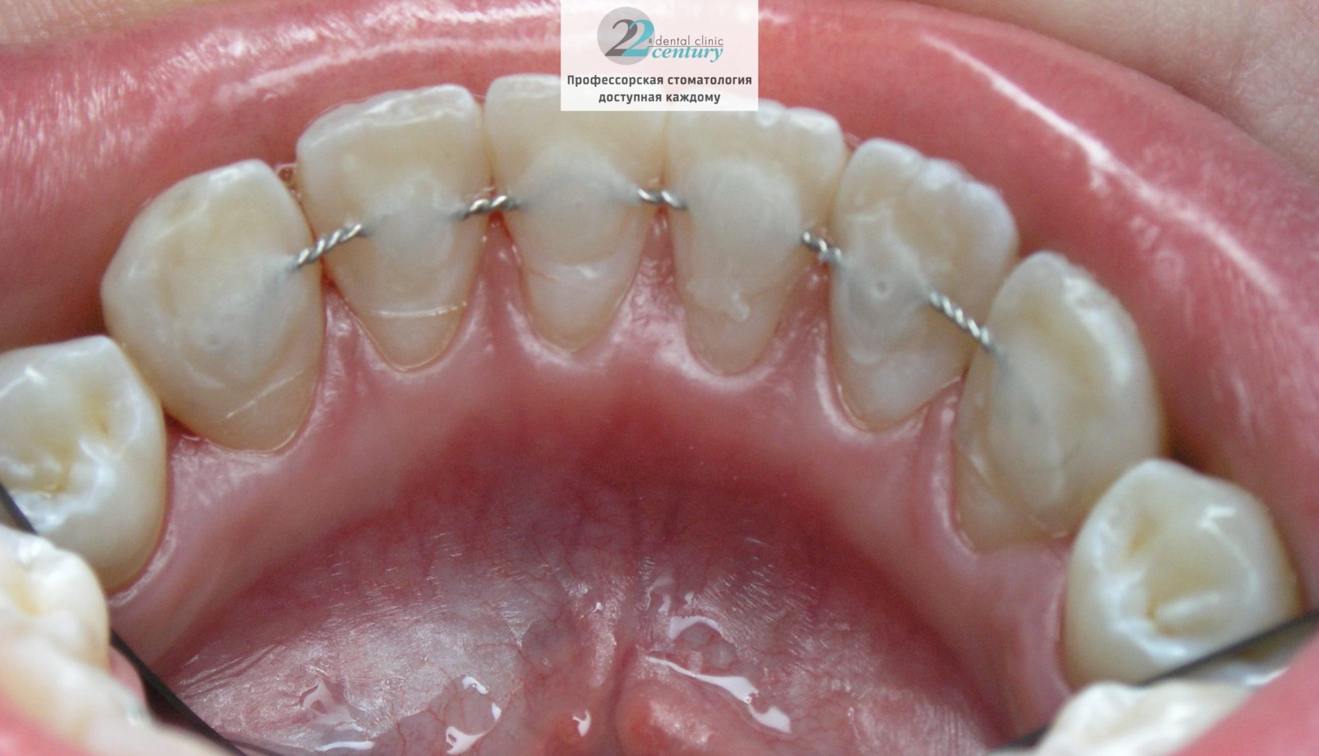
Вантовое шинирование зубов в современной стоматологии – это стягивание зубов крепкой тонкой нитью, которая позволяет осуществить прочную горизонтальную связь между соседними зубами. Эта процедура не вызывает у пациента дискомфорта или ощущения стянутости – она достаточно естественна и физиологична.
Для фиксации стоматологи используют прочный и долговечный материал – арамид. Особенностью данного материала является способность сохранять свои свойства – он не вступает в реакции с пищей и слюной, не стирается, не разбухает и не оказывает негативного воздействия на эмаль.
Как осуществляется процедура?
Для осуществления процедуры шинирования зубов в предварительно подготовленные бороздки на зубах (немного выше десны) размещается арамидная нить, которая затем “закрывается” светоотверждаемым композитом, подобранным под оттенок эмали. Таким образом, для окружающих следы шинирования оказываются незаметными.
Шинирование может быть выполнено стекловолокном – такие шины адгезионные композитные армированные стекловолокном, которое биоинертно, имеет высокий модуль упругости, химически соединяется с композитом, не набухает, имеет высокие эстетические показатели.
После осуществления процедуры очень важно соблюдать тщательную гигиену полости рта и использовать для этого дополнительные средства - ирригатор, флоссы, ершики.
Показания к шинированию зубов
Шинирующие конструкции чаще всего показаны в следующих случаях:
- Заболевания пародонта;
- Кровоточивость десен;
- Расшатанные зубы;
- Наличие зубных отложений;
- Выраженные зубодесневые карманы и высокая степень обнажения корней;
- Некоторые особенности расположения зубного ряда, его деформация.
Необходимость в процедуре может определить только стоматолог, основываясь на данных рентгенографии и дополнительных методах исследования.
В том случае, когда заболевание пародонта находится в начальной стадии и выраженные поражения тканей отсутствуют, можно обойтись без шинирования.
Преимущества шинирования зубов
- Шинирование зубов при пародонтите позволяет избежать потери зубов даже если они сильно расшатаны. В этом случае к минимуму сводится возможность атрофии челюстной кости, а зубы вдоль десны не раздвигаются.
- Процедура позволяет минимально травмировать десну и зубы – депульпация и обтачивание не производятся, а бороздка для нити пломбируется композитом без риска последующего кариеса.
- Арамидная нить и стекловолокно не значительно усложняет очищение зубодесневых карманов и другие манипуляции, оставляя условия ухода за полостью рта оптимальными.
- Шинирование подвижных зубов может использоваться, как возможность восстановить утраченный зуб, фиксируя протез арамидной нитью или стекловолокном, процедура может выступать в качестве альтернативы протезированию.
- Пациенту будет обеспечен долговременный и быстрый результат. В большинстве случаев вантовое шинирование осуществляется в день обращения, а благодаря уникальным свойствам арамидной нити – результат сохраняется долгие годы.
Сколько стоит шинирование зубов
Стоимость процедуры зависит от поставленных задач и используемых для их решения материалов. Подробнее об этом вы можете узнать непосредственно в нашей стоматологической клинике.
Профессорская стоматология “22 век” при наличии показаний, выполнит вантовое шинирование, шинирование зубов после брекетов, шинирование стекловолокном.
Все используемые нами материалы современны, экологичны и максимально безопасны.
Если вам любопытно знать, как выглядит зубной ряд до и после процедуры шинирования – можете посмотреть фото на нашем сайте.
Подозреваете, что вашим зубам необходима вышеописанная процедура? Приходите к нам - бесплатная консультация главного врача клиники поможет определить существующие проблемы и найти их оптимальное решение.




