Средний кариес
Не откладывайте поход к стоматологу, ведь средний кариес настолько коварен, что вы и не заметите, как станете его жертвой. В нашей клинике стоматологии осуществляется диагностика любых патологий и лечение зубов на уровне, который позволит вам навсегда забыть о страхе перед зубоврачебным кабинетом!
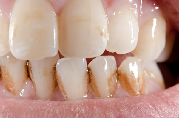
Разрушение эмали и твердых тканей
Разрушение эмали и твердых тканей вследствие их деминерализации и инфицирования называется кариесом. Со временем поверхностное кариозное пятно переходит в следующую стадию — средний кариес, при котором поражается дентин.
Заболевание разрушает зубы в любом возрасте. Поверхностный кариес в считанные месяцы поражает фиссуры и эмаль, переходит в среднюю стадию. Зачастую пациент обращается к специалисту, когда остается диагностировать уже глубокий кариес, при котором дентин практически полностью разрушен.
Причины развития среднего кариеса
Дентин состоит из множества канальцев, благодаря чему его структура напоминает пористую губку. Когда зубная эмаль повреждена, проникновению кариозной инфекции ничто уже не мешает, она распространяется по канальцам в глубинные слои зуба.
Бактерии, вызывающие поверхностный кариес, продуцируются в зубном налете, образующемся в результате пережевывания пищи. Продуктом жизнедеятельности этих бактерий является кислота, нейтрализующая кальций и фтор — основу эмали. По мере ее размягчения бактерии проникают в дентин, кариозная полость становится все более глубокой. На этом этапе патологии диагностируется средний кариес.
Симптоматика среднего кариеса
Если вы столкнулись с такими проблемами как:
- Дискомфорт в зубном ряду во время приема пищи;
- Болезненная реакция зубов на вкусовые раздражители и перепады температур;
- Несвежий запах изо рта даже при регулярной чистке;
- Ощущение полости в зубе;
- Темные пятна на жевательной поверхности;
не затягивайте с обращением к специалисту, возможно, у вас диагностируют средний кариес. И чем раньше это произойдет, тем лучше, ведь кариозное поражение достаточно быстро распространится на пульпу. И тогда к незначительным на первый взгляд симптомам добавится острая боль и угроза гнойной инфекции.
Диагностика
Для начальной формы кариозного поражения зубов характерно наличие глубокой полости с размягченным дентином. Хронический средний кариес выражен широким твердостенным отверстием, в котором присутствуют лишь остаточные некрозные элементы дентина.
Задача стоматолога провести качественную дифференцированную диагностику, позволяющую распознать иные стадии кариозного поражения, клиновидный эффект.
В особо сложных, неоднозначных случаях врач назначает рентгенографию пораженного зуба.
Лечение среднего кариеса
Методы лечения данного заболевания можно назвать типичными для консервативной терапии:
- На начальном этапе с помощью бормашины врач рассверливает полость и удаляет некротизированные ткани;
- Далее зачищается дентин и эмаль;
- Следующий этап — санация полости и антибактериальная обработка;
- Завершает лечение установка изолирующего полимера и пломбы.
Профилактика
Не смотря на то, что пломбирование зубов сегодня осуществляется с применением самых современных и безопасных материалов, средний кариес легче предупредить, чем тратить время и деньги на его устранение.
Посещайте кабинет стоматолога дважды в год. Это поможет вовремя распознать угрозу для целостности зубов и оперативно ее устранить.
- Следите за питанием. Ежедневный рацион должен быть богат овощами, фруктами, полезной и здоровой пищей.
- Ухаживайте за полостью рта. Зубы рекомендуется чистить утром и вечером, не пренебрегать полосканием после каждого приема пищи.
- Своевременно избавляйтесь от зубного камня и налета. Они — главная естественная среда для размножения патогенных бактерий.
Что предлагаем мы?
Наверняка после прочтения данной статьи вас заинтересует цена на наши услуги. С полной ответственностью можем вас заверить, что стоимость обслуживания в нашей клинике убедит вас в том, что профессионализм, качество и индивидуальный подход к пациенту не зависят от рыночных тенденций.
Помните, здоровье бесценно! Просто позвоните, а мы поможем вам сэкономить деньги и сохранить красоту зубов!




